Un approccio eco-responsabile alla preparazione di campioni biologici per la microscopia elettronica.
Consigli, suggerimenti e trucchi per la microscopia.

Tampone di cacodilato di sodio per microscopia elettronica: Soluzioni tampone e migliori pratiche
Tampone di cacodilato di sodio per microscopia elettronica: Soluzioni tampone e migliori pratiche
Read More
URANYLESS Cryo version, AFS Application.
URANYLESS Cryo version, AFS Application.
Read More
What is the optimal osmolality of a fixative solution?
What is the optimal osmolality of a fixative solution?
Read More
How to choose the value pH buffer in fixative solution for electron microscopy.
How to choose the value pH buffer in fixative solution for electron microscopy.
Read More
Feedback from a customer using OTE stain.
Feedback from a customer using OTE stain.
Read More
How dispose of Osmium Tetroxide OsO4 Waste (protocole Harvard University – USA).
How dispose of Osmium Tetroxide OsO4 Waste (protocole Harvard University – USA).
Read More
Expiry date ≠ Peremption date !
Expiry date ≠ Peremption date !
Read More
Recipe / Preparation : PBS (Phosphate Buffer Saline) 1X, pH 7.4.
Recipe / Preparation : PBS (Phosphate Buffer Saline) 1X, pH 7.4.
Read More
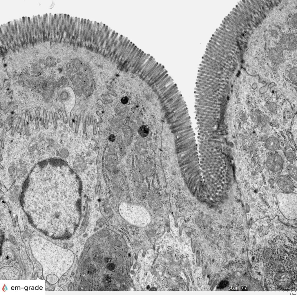
Stain77 : A positive staining ultrathins sections on TEM grids.
Stain77 : A positive staining ultrathins sections on TEM grids.
Read More
Karnovsky fixative
Karnovsky fixative
Read More
Why do we use copper grid for TEM?
Why do we use copper grid for TEM?
Read More
PHEM Buffer recipe
PHEM Buffer recipe
Read More
Glutaraldehyde EM grade
Glutaraldehyde EM grade
Read More
How to prepare O.T.E stain (Oolong) solution ?
How to prepare O.T.E stain (Oolong) solution ?
Read More
PHEM BUFFER , the best buffer for immunofluorescence cell culture.
PHEM BUFFER , the best buffer for immunofluorescence cell culture.
Read More
EM Stain OTE (OOLONG TEA) use staining ultrathin section.
EM Stain OTE (OOLONG TEA) use staining ultrathin section.
Read More
Shelf life of OTE powder extract (conservation)
Shelf life of OTE powder extract (conservation)
Read More
The imidazole buffer allows lipid retention
The imidazole buffer allows lipid retention
Read More
Small sliding cardboard box
Small sliding cardboard box
Read More
Ampoule or vial 10ml?
Ampoule or vial 10ml?
Read MoreMulti-well silicone mat for staining grids
Multi-well silicone mat for staining grids
Read More
What is the CAS number?
What is the CAS number?
Read More
MSDS – SDS – FDS ?
MSDS – SDS – FDS ?
Read More
What is the advantage of the AirLess bottle on our products?
What is the advantage of the AirLess bottle on our products?
Read More
P.B.S. buffer
P.B.S. buffer
Read More
Definition of pH, Ka and Pka
Definition of pH, Ka and Pka
Read More
Bottles with Airless system
Bottles with Airless system
Read More
Buffers in microscopy
Buffers in microscopy
Read More
Hydrogen potential
Hydrogen potential
Read MoreMolecular Weight (MW): Understanding Formula Weight (FW) and Molar Mass